علوم
أثبتت دراسة علمية أجراها باحث تركي، أن الزيت المستخلص من بذور التين يحتوي على كميات كبيرة من فيتامين "E" و"أوميغا 3".
أكدت دراسة أميركية أن تناول الكثير من الجبنة خصوصاً الشيدر والجبنة الكريمية قد يؤدي إلى زيادة خطر الإصابة بسرطان الثدي بنسبة 50%.
فوائد كثيرة نحصل عليها عند تناولنا للوز الاخضر الذي ينتشر بكثرة خلال فصل الربيع، وفي ما يأتي سنعدد أبرزها.
نشرت صحيفة "هافنغتون بوست"، بنسختها البريطانيّة، نتائج تجربة أجراها باحثون من جامعات "فاندربيلت"، وجامعة "فرجينيا التقنية"، وجامعة "بيل" الأميركيّة، والتي أفادت بأنّه من الممكن الكشف عن "حالة المعرفة"، لدى المشتبهين، إذا كانوا قد ارتكبوا الجرم بشكل متعمد أم لا.
يعاني الكثير من الرجال من مشكلة الصلع، التي تشكل للبعض منهم إزعاجاً، لكن يبدو أن حظ طويلي القامة أو أصحاب البشرة السمراء يلعب لصالحهم!
يعد اتباع نظام غذائي صحي أمراً غاية في الأهمية مدى الحياة، لكن مع التقدم في العمر يصبح من الصعب الحفاظ على العادات الغذائية الصحية لعدة أسباب، خاصة بالنسبة للمسنين الذين يعيشون بمفردهم.
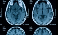
كشف باحثون في كاليفورنيا أن نشاط الدماغ يفوق 10 مرات ما كان متوقعا. وتوصل الباحثون في جامعة كاليفورنيا إلى نتائج جديدة قد تغير نظرتهم إلى طريقة عمل الدماغ ، بل وقد تؤدي إلى مقاربات تفيد في علاج الاضطرابات و الأمراض_العصبية خصوصا المتصلة بـالذاكرة
قال باحثون أميركيون، إنهم نجحوا في تطوير وإنتاج شبكة أوعية دموية نابضة بالحياة، باستخدام تقنية #الطباعة_ثلاثية_الأبعاد، ما يمهد الطريق لاستخدام هذه التقنية في الطب التجديدي.
حذرت دراسة علمية حديثة من أن الإفراط في تناول السكريات قد يرفع مخاطر الإصابة بـالزهايمر ، فيما يعد أول دليل ملموس على وجود علاقة بين نسبة سكر الغلوكوز في #الدم والمخ.
أشارت نتائج دراسة تعرف باسم "فيزيكانز هيلث ستدادي" إلى أن الرجال الذين يتناولون الأسبرين بشكل منتظم يقل لديهم خطر الإصابة بسرطان بروستات قاتل أكثر من الرجال الذين لا يتناولون الأسبرين.
لا تخلو الحياة اليومية لأي شخص من بعض التوتر و القلق، لكن عندما تظهر علامات الانهيار العصبي على شخص ما فهذا يعني أنه قد وصل إلى أقصى درجة يمكن تحملها من #الإجهاد والتوتر والقلق، حيث يعجز في هذه الفترة عن أداء واجباته اليومية بشكل طبيعي.
يعتبر البرقوق أحد الفواكه متعددة الألوان والفوائد الصحية المذهلة، حيث يحتوي على كميات وفيرة من العناصر الغذائية و الفيتامينات و المعادن و البروتينات المفيدة للصحة.
أظهرت دراسة حديثة أن المتزوجين ربما يكونون بصحة أفضل من العزاب أو المطلقين أو الأرامل ، لأسباب من بينها انخفاض مستويات هرمون للتوتر له علاقة بمشكلات صحية شتى.
يعد الألم المزمن من المشاكل الصحية الشائعة بين كثير من الناس، ويعرف بأنه الألم المستمر لأكثر من 6 أشهر في أي جزء من الجسم.
تبين من دراسة علمية جديدة أن الإسهاب في الكلام، والإطالة غير المفيدة أو غير المناسبة، قد تكون واحدة من العلامات الدالة على الإصابة بمرض الزهايمر، أو قرب الإصابة بالمرض، حيث إنها قد تدل على بداية خلل في الدماغ ليس سوى مرحلة أولية للإصابة بالمرض.
الأطعمة التي نتناولها قد تكون غنية بالسعرات الحرارية، لكن عادة ما يتمتع الأشخاص بخيارات عديدة لتناول الأطعمة الصحية الغنية بالفيتامينات والتي لا تؤدي إلى السمنة.
يعد تمزق الغضروف الهلالي من مشاكل الركبة الأكثر شيوعاً، ويرجع هذا التمزق إلى عدة أسباب، من بينها الإصابات الرياضية، والحركات الخاطئة والحوادث المرورية.
أفادت دراسة حديثة أن تناول الفواكه والخضراوات الطازجة بكثرة لا تقتصر فوائده على الصحة البدنية وحسب، بل يمكن أن يحسن الحالة المزاجية والنفسية في غضون أسبوعين.
يعتبر النوم من الحاجات الأساسية في حياة الإنسان، وتؤثر اضطراباته بشكال كبير على يومياتنا. فالإنسان يقضي ثلث عمره نائماً، ويؤدي الحرمان من النوم المزمن إلى الموت في العديد من الحالات.
أكدت دراسة حديثة أن الوجبات الغنية بالبروتين سواء كان من مصادر حيوانية أو نباتية ربما تساعد في المحافظة على حجم وقوة عضلات الجسم مع تقدم العمر.
  • 05:12
  • 11:42
  • 02:27
  • 04:45
  • 06:07
  • You have an error in your SQL syntax; check the manual that corresponds to your MariaDB server version for the right syntax to use near ')) order by `order` ASC' at line 1